CABINET DENTAIRE DU LABYRINTHE
Dr Julien Lestienne / Dr Joséphine Toulemonde / Dr Lisa Bafi-Ghadimy / Dr Pauline Descamps
CABINET DENTAIRE DU LABYRINTHE
Dr Julien Lestienne / Dr Joséphine Toulemonde / Dr Lisa Bafi-Ghadimy / Dr Pauline Descamps

36 rue Dronckaert
59960 Neuville en ferrain

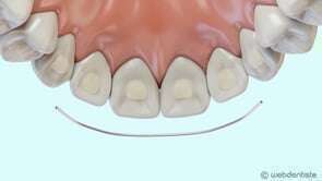
Fil de contention


video-play-icon

Création par Webdentiste

Connexion